
IN THIS ERA OF INCREDIBLE INNOVATIONS, it is an exciting time to be a dentist. Upon graduating from dental school, I had the advantage of joining a state-of-the-art, high tech dental office that emphasized quality of work, which in turn made me into the continuing education and technology aficionado I am today.
One focus of my first orthodontics class was to discover the types of information patients would be seeking regarding orthodontics and how to properly address their concerns. Ten years later, I believe understanding the “why” of orthodontics helped to establish my career. I evolved into being a restorative dentist who ensures I am working with a solid infrastructure. Foundation first, then build the rest of the house.
The majority of my downtown Denver patient population is comprised of busy professionals who have both high demands and very little time. They want their Instagram-ready smile makeover by “tomorrow” and have usually shopped around by the time I actually see them for a consult. I start each consult by stating “I want you to make decisions knowing what I know.” I want them to make the best choices that fit their lifestyle, while having as much information about options and treatments as possible.
When I say, “I want to ensure you get the best possible result,” even in the light of my “informational talk,” they immediately ask, “How long?” The bottom line is they have already done their research on dentists who will provide a reasonable price, modern technology, and fastest completion time, so I must provide all three.
Two technologies that allow me to fulfill their wish for faster treatment are Propel’s combination of micro-osteoperforations (MOPs®) and high frequency vibration. The concept of MOPs is fascinating, and the research makes sense. Micro-osteoperforations are tiny perforations along the patient’s gumline made with a Propel Excellerator® series driver. These MOPs activate a cytokine cascade which increases osteoclast activity and accelerates bone remodeling. As orthodontic forces are applied, teeth can move more easily through remodeling areas. The result is faster, more predictable movements.
While the MOPs accelerate the bone remodeling, the VPro High Frequency Vibration (HFV) device activates the biology causing a reduction in treatment time by up to 64%,1 obtunds pain and assures ultimate aligner seating. The sum of these advantages also increases predictability. I personally use VPro to help accelerate treatment as well as to facilitate seating of aligner trays.
In my experience, the high frequency vibration also increases comfort for patients-my patients who use VPro report less discomfort as they progress through aligner tray changes. As for the retention, studies showing the effects on the alveolar bone in retention make it a tool they can utilize from start to finish.
Continue reading on Next Page
For treatment options I use with these techniques, I offer options of brackets versus clear aligners as well as extraction versus non-extraction. During the consultation, I explain the pros and cons of each. I explain rubber bands and IPR, and the possibility of doing treatment with and without these procedures. I want patients to choose an option they would commit to so we can achieve good results. Of course, I always give patients the option to see an orthodontist first, especially for more complex cases.
In my practice, the combination of MOPs and VPro allows patients to switch their aligners every 3-7 days, depending on specific needs and to ensure that aligners are tracking consistently. MOPs has been very effective at facilitating the more difficult movements and jump-starting struggling cases all in a short office visit with minimal pain being reported by patients afterwards.
The VPro ensures proper seating of the aligner, which allows for fewer office visits due to better tracking. It also serves as a pain reducer so my sensitive patients are not relying on pain relievers to get them through the discomfort of advancing trays.
Some studies note the simultaneous sensory effect of vibration on nerves can cause reduced pain. Personally, I believe the blood flow to the area caused by high frequency vibration is mainly what contributes to this, which is the reason we tell patients not to take anti-inflammatories for pain reduction.
When I first discovered Propel’s products, I thought solely of acceleration because as mentioned previously, patient demands were all about time. Since incorporating these techniques into my cases, the treatment of complex cases has become more predictable, and that makes me more confident in treating those types of cases. Specifically, I personally think intrusion and crossbite cases are so much more predictable than just using Invisalign®without Propel treatment options. Realizing how predictable some results are can help general dentists be able to more carefully choose the cases they are able to treat and which cases they should refer out to an orthodontist. The value added by incorporating both products into my practice has me looking at orthodontics in a whole new light.
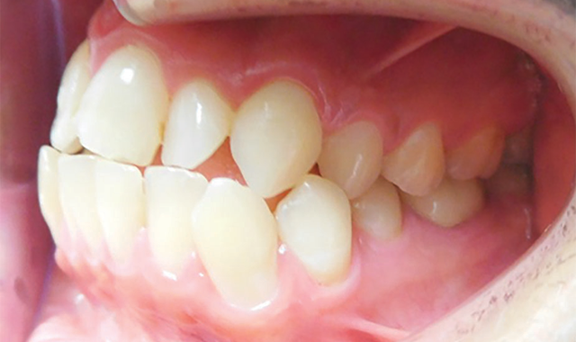
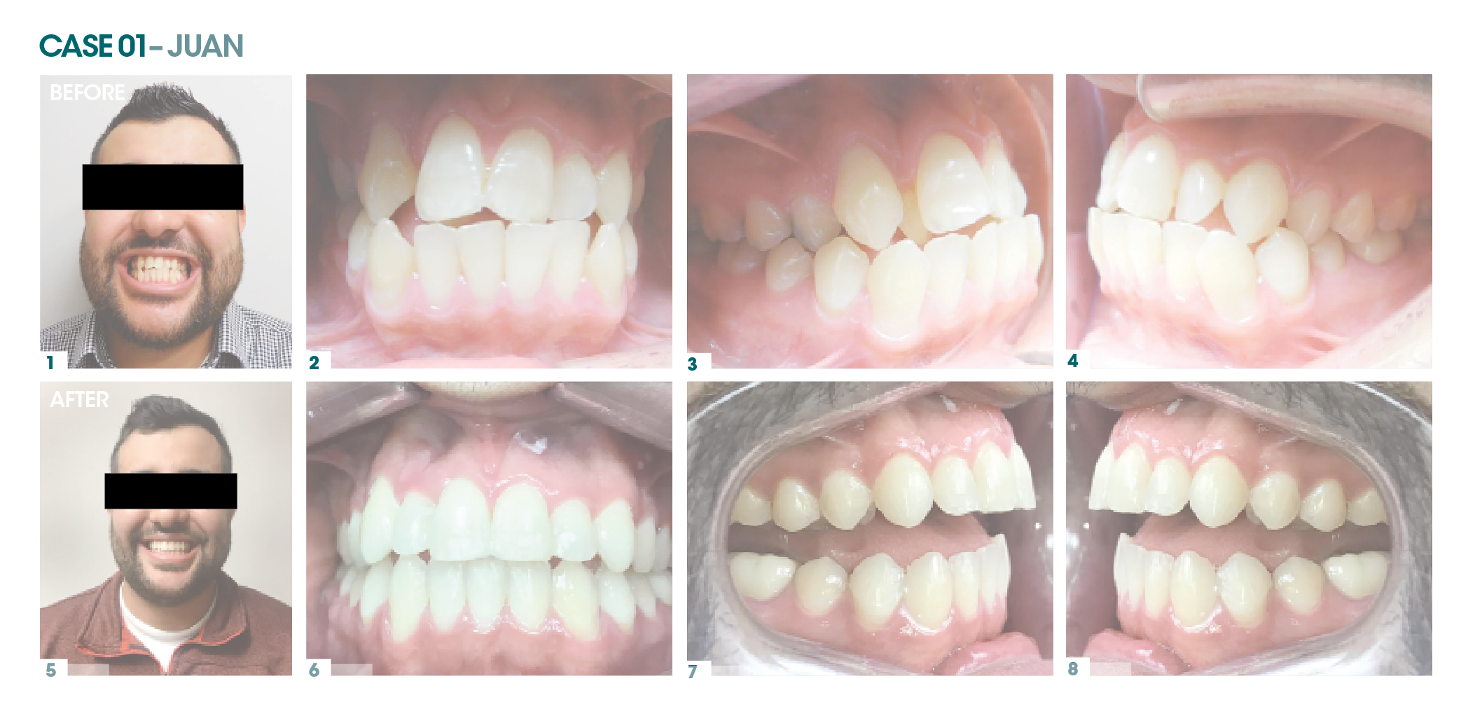
This 28-year-old patient presented to our office in April 2018 stating he would be getting married in a year, and he wanted his teeth straightened and whitened prior to the wedding. He had very narrow upper and lower arches with an anterior and premolar cross bite, slightly Class III occlusion bilaterally by 1 mm.
Figures 1-8 Twenty-eight-year-old patient, Juan, wanted his teeth straightened and whitened prior to his wedding. The patient was happy about the results for wedding photos and especially impressed with progress of tooth No. 7. Previously, this tooth was positioned so far palatally that it was hardly visible in the facial view.

After evaluating diagnostic models, options were given to the patient with pros and cons. The patient decided to proceed with the extraction of tooth #24. We decided to expand both the upper and lower jaw for a rounder appearance and align as much as possible prior to the wedding, then take attachments off about three weeks before the wedding and refinement after the event.
Continue reading on Next Page
We delivered the first set of trays the end of May and extracted tooth #24 the same day. The patient wore Class III rubber bands for four months, and we completed MOPs at month five to expedite treatment.
I completed perforations premolar to premolar on maxillary and mandibular areas with one perforation between all teeth at about 3 mm deep, and two perforations mesial and distal of maxillary canines and premolars. We started MOPs and VPro halfway through his treatment because his teeth were not moving as fast as we needed them to if we were to meet his treatment timeline.
We removed all attachments for the wedding in April and whitened his teeth, using take-home whitening trays and Venus® products from Kulzer Dental. At this time, he was Class I bilaterally and had no cross bites. After the wedding, we rescanned his teeth and devised a round of refinements to improve on his overjet and upright anterior teeth, improving on the faciolingual angulations of his anterior teeth and improving on the overjet.
The patient was very happy about the results for wedding photos and especially impressed with progress of tooth #7. Previously, this tooth was positioned so far palatally that it was hardly visible in a facial view. Prior to the wedding, we did one round of trays, so the total treatment involved 40 trays and one refinement. Figs. 1 to 8 show the before and afters for Juan’s treatment.
Daniel, a 23-year-old patient, presented to our office with chief complaint of wanting to align his teeth. He had a Class I occlusion on the right and Class III on the left by 3 mm. He had an overbite of 90 percent; tooth #27 was in cross bite, and tooth #7 was very palatally positioned. His upper midline was
2 mm to the left. He had 8 mm crowding on the mandibular and
10 mm on the maxillary.

After evaluating diagnostic models and measuring the jaw size discrepancies, we give patients options of extraction versus no extraction, discussing the pros and cons. After the consultation, the patient decided to extract the premolars. We decided to extract tooth #5 and tooth #28 because his midline was already off, and that would provide enough space for the treatment plan as well as help with aligning the midline.
I completed MOPs two weeks after the first aligner delivery, one perforation premolar to premolar, and maxillary and mandibular. That is my protocol, so the patient can become accustomed to the aligners first and then we can add more to process. At that point, I also asked him to start VPro vibration.
After starting treatment at the beginning of April, Daniel progressed through 40 trays in six months at the time of first refinement. After his 40 trays, he showed great improvement. At that time, we planned to align his midline and fine tune his occlusion. At that point, he still showed crowding and spaces that need to be aligned, and we are correcting those issues while keeping the midline in mind and moving teeth to help us align the midline as well. Figs. 9 and 10 show the before and afters for Daniel’s treatment.
Continue reading on Next Page
Case 3 –
Kara
This patient, a 32-year-old female, presented to our office in January 2019 stating she might be moving in the summer and wanted to take care of spaces that resulted from congenitally missing laterals before she moved. She had a molar Class II occlusion bilaterally, 2 mm of crowding on the mandible, and 5 mm of spacing on maxillary.
After discussing options, we decided to retain the posterior occlusion at Class II and close the anterior spacing and place veneers on tooth #7 and tooth #10. The veneers were purely to make canines look like laterals because the patient expressed her want for this to happen.

We prepared one round of 18 aligners with MOPs changing trays every five days. We did MOPs on the maxillary mesial and distal of tooth #5 and #3 and tooth #11 and #12 on mandible 23-26. The two perforations on the maxillary and one perforation of the mandible were 3 mm deep. This was followed by whitening and veneers just on time for her to move in July.
This patient also used VPro high frequency vibration to ensure the aligners were seating well. Because of the time constraint, she was changing aligners every three days, and they tracked every time.
Kara specifically wanted me to finish treatment on her timeframe. Due to trust we had built throughout her treatment in the past, timing was very important because the goal was to finish all teeth movement, whitening, and veneers prior to her departure (Figs. 11 and 12).
This 30-year-old female patient presented with the chief complaint of crowded teeth but also wanted an implant to replace her missing tooth #19 on her lower left. She had a Class III on the right, and Class II on her left molars. She also had a posterior right crossbite as well as tooth #12 and tooth #14 in cross bite, a 30 percent overbite and overjet of 4 mm. She needed her upper midline centered and lower midline moved 2 mm to the left. Her lower left molars had shifted with very limited space for implant.

We did MOPs two weeks after the first aligner was delivered, and recommended use of the VPro. I did MOPs on the first premolar to first premolar, all were one perforation. I usually don’t do any perforations on midlines so there were no perforations between tooth #8 and #9 and tooth #24 and #25. She started using VPro at the same time as the MOPs, two weeks after the first aligner.
After completing her first set of 34 aligners, we planned to do the first refinement. The refinement entailed adding IPR on upper left and lower anteriors to align the midline and to improve on overjet and close posterior occlusion.
We are at the refinement stage right now after six months, and there is no crossbite on the left, the right-side teeth are end-to-end with slight crowding still present (Figs. 13 and 14). We will be starting refinements soon.
Someone once told me they were amazed by how much I postpone pleasures in life for the sake of doing something “right.” As someone who endured two rounds of braces, I know the end cannot come fast enough! It is extremely satisfying to be able to comfortably tell someone, “Yes, you will have the smile you’ve always dreamed of in time for your wedding.” Or, “Yes, we will have your veneers done right before your upcoming move.” Nothing beats the feeling when I’ve delivered on my promise, and they express their gratitude for changing their life. It’s the reason I became a dentist.
REFERENCES
1. Alansari S, et al., The Effects Of Brief Daily Vibration On Clear Aligner Orthodontic Treatment, Journal of the World Federation of Orthodontists, Volume 7, Issue 4, December 2018, Pages 134-140 https://doi.org/10.1016/j.ejwf.2018.10.002
Continue reading on Next Page
VPro+™

Excellerator® Series

Propel Orthodontics
855-377-6735 | propelorthodontics.com
