Why supra-nano filled composites like Estelite Sigma Quick are a great option for young patients.

Esthetic dentistry conjures up a specific concept in the mindset of most people. When presented with the concept of esthetic dentistry, many people think of glamour and the “Hollywood” stark-white veneers, and believe they are as simple as paint-on whitening.
But at the same time, many in the dental profession are attempting to create a specialty of cosmetic dentistry devoted to the true dental arts. The truth of the matter is that all dental professionals should strive for esthetic results and, equally important, maintain a practice devoted both to preventive care and conservative interventions. This is particularly true in the treatment of the young dental patient, who particularly benefits from both preventive care and the conservation of tooth structure. Sadly, some discount the importance of esthetics when treating young children. And yet the concept of esthetics is well understood even in the very young, possibly starting as soon as 3 months of age1. Therefore, esthetic dental treatment is as equally important in the young as it is in the more mature patient.
Read more: Double Take: ‘Estelite Sigma Quick makes doing dentistry for the dentist easier’
Conservative esthetic treatment is virtually all based on adhesive dentistry, starting first with Buonocore (1954) and the acid etching of enamel2,3, followed by Nakabayashi (1982) with bonding to dentin4, and cumulating more recently with the development of seventh-generation single-step adhesives. Concurrent with the improvements in adhesion has been the evolution of dental resin-based composites from the early days of Bowen5 (1962) to the highly esthetic, supra-nano filled composites of today6,7.
Case study
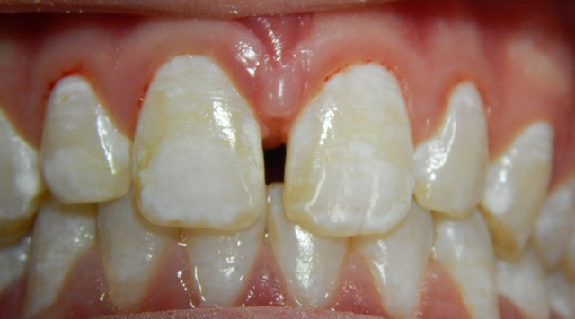
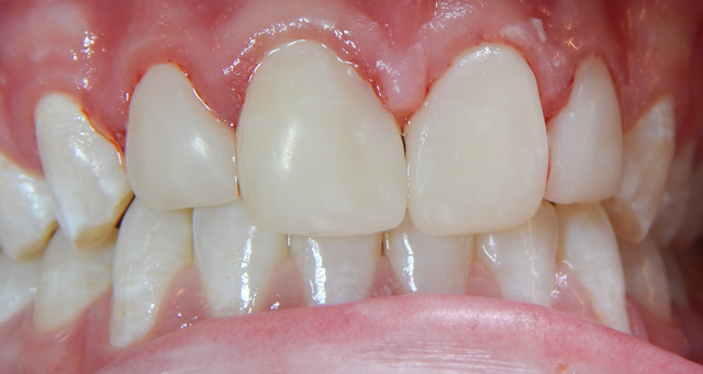
J. H. presented as a 14-year-old male in no acute distress and without significant medical history but with a chief complaint of “ugly front teeth.” His maxillary incisors displayed excessive spacing, abnormal morphology and a mottled appearance. Potential treatments could include ceramic veneers, orthodontic treatment or a combination of the two. Considering that the patient did not want orthodontic treatment and the requirement of some tooth reduction prior to veneer placement, the decision was made to place an esthetic, supra-nano filled resin-based composite restorative material, Estelite Sigma Quick® (Tokuyama Dental).


Fig. 1 Fig. 2
Estelite Sigma Quick has a filler particle mean size of 200 nanometers (supra-nano), which delivers exceptional esthetics while maintaining excellent physical properties as a result of its spherical filler technology6,7. The exclusive use of spherical filler particles provides not only high polishability and wear resistance but also creates a high diffusion and refraction of light resulting in a superior natural blending effect8,9. Clinicians have also been very satisfied with the handling characteristics of Estelite Sigma Quick as well as with the now well-proven track record of long-term clinical success10.


Fig. 3 Fig. 4
Continue to page two to read more...
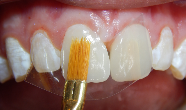
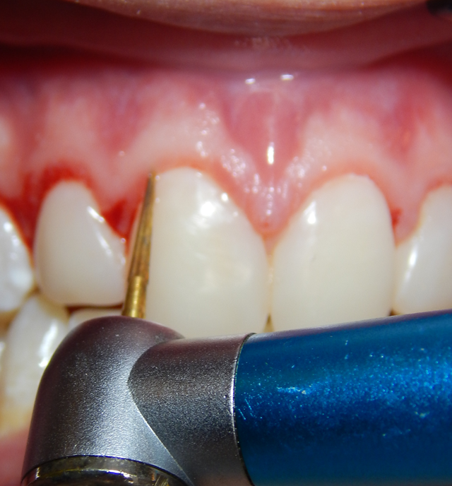
To ensure complete acid etching of the enamel surface, a thorough dental prophylaxis was performed with a non-glycerin abrasive paste (Fig. 1). All surfaces were cleansed of any plaque or debris and the defective, hypo-mineralized enamel was carefully prepared with a super-fine diamond rotary bur followed by abrasive disks (Fig. 2). The enamel surface was acid etched for 30 seconds and two coats of the adhesive seventh-generation bonding agent (ALL-BOND UNIVERSAL®, BISCO) was applied and then light cured for 20 seconds (Figs. 3, 4 and 5).


Fig. 5 Fig. 6
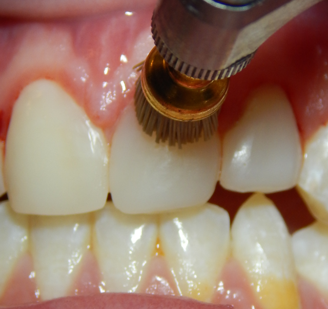
The Estelite Sigma Quick shade OA1 was easily applied and contoured with a composite instrument (titanium nitride coated), then smoothed with a sable bonding brush (Figs. 6 and 7). The composite restorations completely blended into the adjacent tooth structure. Finishing and polishing was accomplished with 12 fluted spiral carbide burs (NeoBurr, Microcopy Dental) and E.C. Moore’s MooreFlex Polishing Discs (Figs. 8 and 9).


Fig. 7 Fig. 8
The extremely glossy final finish was achieved with “buffing” from an abrasive brush cup (Ultradent Products) (Fig. 10). Polishing a supra-nano composite such as Estelite Sigma Quick requires only a minute of the clinician’s time. The patient was ecstatic with his new “look” (Fig. 11, at recare visit). In summary, improved resin-based composites allow for very esthetic and conservative restorations with great polishability for the pediatric dental patient.


Fig. 9 Fig. 10

Fig. 11
References:
1. Mondloch C. J., Lewis T. L., Budreau D. R., Maurer D., Dannemiller J. L., Stephens B. R., Kleiner-Gathercoal K. A., Face Perception During Early Infancy, Psychological Science Vol 10, Issue 5, pp. 419 – 422 May-06-2016.
2. Buonocore M. G., Wileman W. R., Brudevold F. A simple method of increasing the adhesion of acrylic filling materials to enamel surfaces [abstract]. J Dent Res.1954;33:694. Abstract 4.
3. Buonocore M. G. A simple method of increasing the adhesion of acrylic filling materials to enamel surfaces. J Dent Res. 1955; 34:849-853.
4. Nakabayashi N, Kojima K, Masuhara E., The promotion of adhesion by the infiltration of monomers into tooth substances. J Biomed Mater Res. 1982;16:265-273.
5. Bowen R. L., Dental filling material comprising vinyl-silane-treated fused silica and a binder consisting of the reaction product of bisphenol and glycidyl methacrylate. US patent 3, 006:22-67, 1962.
6. Hirata K., Yamagawa J., Qian F., Armstrong S., Color stability of the experimental resin based composite UBC. IADR General Session 2011.
7. Can Say E., Yurdaguven H., Yaman B.C., Özer F., Surface roughness and morphology of resin composites polished with two-step polishing systems. Dental Materials Journal 2014; 33(2): 1–11.
8. Perez M., Hita-Iglesias C., Ghinea R., Yebra A., Pecho O., Ionescua A. M., Crespo A., Hita E. Optical properties of supra-nano spherical filled resin composites compared to nanofilled, nano-hybrid and micro-hybrid composites. Dental Materials Journal 2016; 35(3): 353–359.
9. Lawson N., Cakir D., Beck P., Litaker M., Burgess J., Characterization of third-body media particles and their effect on in vitro composite wear. Dent Mater. 2012 August ; 28(8): e118–e126.
10. Estelite Sigma Quick 5-year Clinical Performance. The Dental Advisor, 2014.